루미니어 심미보철

가리지 말고 당당하게 웃자!
고르고 하얀 치아는 좋은 첫인상을 결정짓는 중요한 요소입니다.
루미니어 크라운은 리더스진 치과에서 독자적으로 개발한 심미보철 기술입니다.
환자 개개인의 치아 배열을 분석해서 개별 맞춤형으로 디자인합니다.
붙이지 않고 씌우기 때문에 구조적으로 튼튼하고 심미적으로 우수하며,
라미네이트의 단점을 보강하고 폭 넓게 적용할 수 있습니다.
자연치아를 최대한 보존하면서 기능적, 심미적인 부분도 놓치지 않기 때문에
많은 연예인 및 인플루언서들이 시술 받고 있습니다.
루미니어 크라운이 필요한 케이스
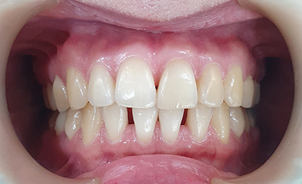
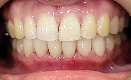
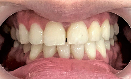
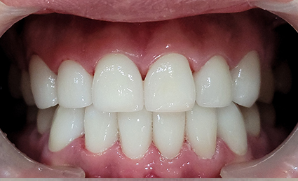
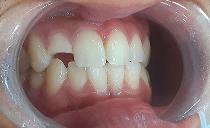
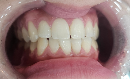
01. 벌어진 치아

술전

술후
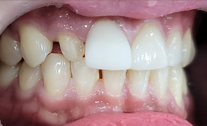
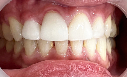
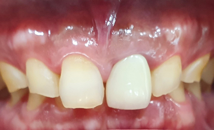
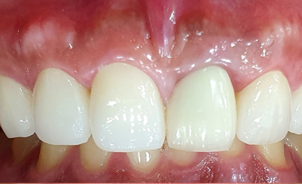
02. 변색 및 착색이 심한 치아

술전

술후
03. 치아가 깨지거나 부러진 경우

술전

술후
04. 라미네이트가 탈락된 경우

술전

술후
05. 치아 크기가 심하게 크거나 작은 경우

술전

술후
06. 앞니가 튀어나온 경우

술전

술후